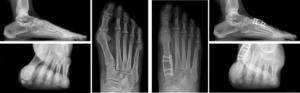
Lapiplasty® Case Examples
Lapiplasty® System 1


Lapiplasty® System 2






Lapiplasty® System 3R

Lapiplasty® S4A








Lapiplasty® SpeedPlate™







Micro-Lapiplasty™




Adductoplasty® System






Intercuneiform Instability


1st MTP Fusion

Flatfoot - Evans Osteotomy

Journal Publications
View the summaries of the key peer-reviewed literature supporting the Lapiplasty® Procedure.