Adductoplasty® System - Treace
Sales Login Patient Portal (904) 373-5940 (904) 373-5940
About Lapiplasty® Become a Surgeon?

Adductoplasty®

Midfoot Correction System

The Adductoplasty® System brings together Treace’s implants and precision instrumentation for the first comprehensive system designed for reproducible realignment, stabilization, and fusion of the midfoot.

Key Surgical Steps

How the Adductoplasty® Procedure Works

1. Plane

The Adductoplasty® Planer allows for congruent planing of the 2nd and 3rd TMT joint surfaces (for insertion of the Adductoplasty® Lesser TMT Cut Guide).

2. Cut

The Adductoplasty® Lesser TMT Cut Guide is designed to deliver precise, continuous angular cuts of the 2nd and 3rd TMT joints.

3. Compress

The Adductoplasty® Compressor delivers controlled apposition and compression1 of the corrective arthrodesis.

4. Fixate

The low-profile titanium plates of the Lapiplasty® Lesser TMT Fixation System are designed to provide locking fixation for corrective arthrodesis of the lesser TMT joints.

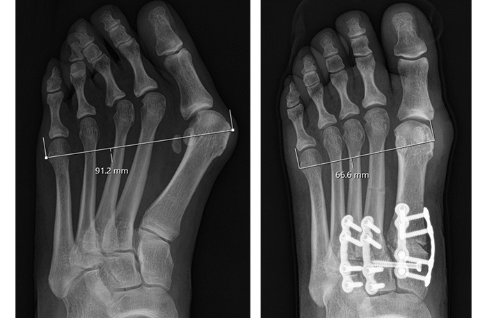
See The Results

Adductoplasty® Midfoot Deformity Correction Before & After Results

Scroll through case examples to see the results

Slide To See More
Constructs at surgeon's discretion.
Individual results may vary. These experiences are specific to these patients only.

Got Questions?

For more information or to get trained on Treace's comprehensive 3D Correction® systems, give us a call or complete the form.

(904) 373-5940

M3499A